狗狗偶尔可能是环境刺激或喝水呛到引起的,如果症状反复或伴随其他异常症状,比如食欲下降、精神萎靡、打喷嚏、流鼻涕、走几步就喘气等,就很可能与呼吸道感染或心肺疾病有关。那么,宠主应该如何识别和应对这些问题呢?接下来,我们将为大家介绍狗狗干咳的常见原因、伴随症状,以及相应的用药方案。

一、狗狗一直干咳是怎么回事?
狗狗干咳的原因有很多,如果症状持续,尤其在兴奋时或运动后特别严重,可能是与以下疾病有关:
1.犬窝咳:表现为突发性干咳,尤其运动或兴奋后加重,多发于幼犬(特别是没打完疫苗的)。犬窝咳是一种传染性较强的呼吸道疾病,多犬家庭通常会感染多只幼犬,并且可能伴有轻度流鼻涕、精神不振、食欲减退、发热等症状,严重时甚至会呕吐。
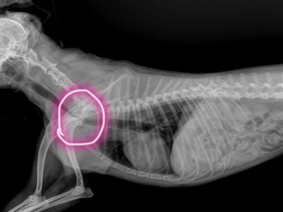
2.气管塌陷:在小型犬中较为常见,如吉娃娃、约克夏、贵宾犬等。咳嗽症状类似“鹅鸣音”,也比较像打喷嚏的倒吸气声,在运动后、兴奋时或受到外界刺激(如冷空气、烟雾)时,症状会更加明显。

(犬气管塌陷影像学检查)
3.心脏病:如二尖瓣反流、扩张型心肌病等,常见于老年犬。除了干咳外,还会出现运动不耐受、呼吸急促、腹部膨大(腹水)、黏膜发绀、心率不齐等症状。
4.支气管炎/肺炎:细菌或病毒感染引起的支气管炎或肺炎也会导致狗狗一直干咳,并往往伴有发热、呼吸急促、呼吸困难、精神萎靡、食欲废绝等症状。
5.环境影响:狗狗的生活环境不洁,受到灰尘、香水、二手烟、花粉等气味的刺激,导致过敏或咽喉水肿/瘙痒,也可能出现干咳症状。
除了上述常见原因外,一些其他因素也可能导致狗狗一直干咳,如寄生虫感染(如心丝虫、肺吸虫等)、咽喉部疾病(如咽炎、喉炎)、药物副作用等。因此,仅凭单一的症状分析,很难直接确定病因,误诊的概率也是比较高的。

二、狗狗一直干咳怎么办?
当发现狗狗一直干咳时,建议及时带它到宠物医院进行全面的检查,确定具体病因。针对不同情况,需要采取不同的治疗方案:
1.犬窝咳
●口服阿奇霉素(消炎)+果根素(止咳),严重时建议使用地塞米松进行雾化治疗。
●多犬家庭注意先把病犬隔离起来单独喂养,并对先前的环境进行消毒。
2.气管塌陷
●保守治疗:使用氨茶碱类支气管扩张剂、类固醇和抗生素进行短期治疗。
●手术治疗:严重时置入气管支架,防止气管塌陷。
注意控制体重和运动量,避免导致情况加重。
3.心脏病
●使用利尿剂(如呋塞米、氢氯噻嗪片等)缓解腹水症状,另外也可以用氨茶碱类药物缓解咳嗽。
●日常可以给狗狗喂食辅酶Q10,有助于改善心肌功能。
●狗狗心脏病后期通常需要长期服用心诺宁(马来酸依那普利片),用于延缓心衰。
4.支气管炎/肺炎
●口服弗诺多(盐酸多西环素片)和止咳药,比如右美沙芬、复方甘草合剂等;
●如果狗狗出现呼吸困难的症状,也需要配合雾化治疗。
总之,狗狗一直干咳的情况可能是由多种原因引起的,未确诊之前,不建议大家自己随意用药。此外,治疗期间为了避免狗狗咳嗽症状加重,我们要注意保持环境卫生,避免狗狗接触过敏原和有害微生物。同时,避免狗狗过度运动或剧烈运动,以免增加心肺负担。